Bệnh TPD: Mối đe dọa mới đối với ngành nuôi tôm miền Trung Việt Nam

catovina Tác giả catovina 15/09/2023 7 phút đọc

I. Sự Lan Truyền Kỳ Lạ của Bệnh TPD

5liwGB6ObHqiERelbrKUYQ5dFrlpExx1ypr_G2VGKzPemRqO9duxpXATuwwtlm_E2C9bIzW7BD0gpar7L3Ddm8uVpMR8bIv4N3-53B9CoJrFBGcklw1AMDH9JHXD5b4JPXX3EClg0yzwTM_Q9Pmg6io

Bệnh TPD (Translucent Post Larva - Disease) đang bắt đầu nổi lên như một hiểm họa chưa từng thấy trong ngành nuôi tôm tại Miền Trung Việt Nam. Với sự xuất hiện đầy bất ngờ và triệu chứng đặc trưng, bệnh này đã chấn động cả ngành và đưa ra nhiều câu hỏi nan giải về nguồn cung cấp tôm và sức kháng của ngành.

  • Xuất Hiện Vào Thời Kỳ Khó Lường
    Bệnh TPD bắt đầu xuất hiện tại Trung Quốc trước khi lan truyền sang các trại giống tôm ở Miền Trung Việt Nam. Tình hình này đã tạo nên sự lo âu trong ngành nuôi tôm, khiến cho người chăn nuôi phải đối mặt với sự hiểm họa chưa từng thấy. Một trong những đặc điểm đáng chú ý của bệnh này là sự xuất hiện đầu tiên trên thẻ tôm.
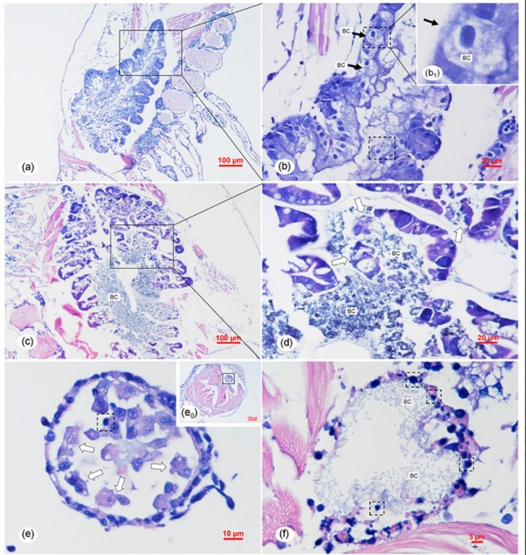
  • Triệu Chứng Đặc Trưng
    Bệnh TPD thường phát triển từ giai đoạn PL4 đến PL7, khi hậu ấu trùng đang trong giai đoạn quan trọng của sự phát triển. Triệu chứng của bệnh này làm rơi vào dải gan tụy mờ đục, đường ruột trống, và tình trạng suy yếu nhanh chóng của tôm. Các tôm bị bệnh có thể mất tới 20% trọng lượng của họ sau chỉ 3 giờ và sau đó mất hết trọng lượng.

II. Khuẩn Tím và Độc Tính

  • Khuẩn Tím: Kẻ Sát Thủ Bí Ẩn
    Một phát hiện đáng chú ý trong quá trình nghiên cứu bệnh TPD là sự xuất hiện của một loại khuẩn tím mới, V. parahaemolyticus Vp -JS20200428004-2, khác với chủng gây bệnh AHPND_EMS. Một khía cạnh đáng lo ngại là chủng này được cho là có độc tính cao gấp 1000 lần so với chủng EMS. Khi khuẩn TPD tấn công, hậu quả là những bể tôm từng mạnh khỏe có thể bị tiêu diệt trong một thời gian ngắn hoặc trở thành nguồn lây nhiễm.
  • Khả Năng Trú Ẩn
    Một đặc trưng đáng sợ của bệnh TPD là khả năng trú ẩn của nó trong cơ thể tôm. Hệ miễn dịch của tôm không thể tiêu diệt khuẩn TPD một cách hiệu quả, làm cho việc dự đoán và kiểm soát bệnh trở nên khó khăn hơn. Điều này tạo ra một trạng thái tình hình không đoán trước và đáng lo ngại.

III. Nguyên Nhân Xuất Hiện và Phòng Chống

JDXFoex9iRGiTvR5pfEoK-jLwTxN7vvqsIyBervA5vC5wFiWY_zMsSRUYduScEmEBG20ct-y2VfRJbSRUJNlUHETP55am4YJB991tR2OnLv5Odkf7isEeAfBRwyUA4ItevIUODBvXmsUkPbpIHUzggA

  • Nguyên Nhân Nổi Lên
    Bệnh TPD thường xuất hiện khi tôm phải đối mặt với sự thay đổi môi trường, ví dụ khi chúng được chuyển ra ao nuôi. Tôm trong tình trạng stress và hệ miễn dịch của chúng suy yếu, tạo điều kiện lý tưởng cho sự phát triển của khuẩn TPD.
  • Phòng Chống Bệnh TPD
    Hiện chưa có phương pháp kiểm tra mầm bệnh TPD, do đó, giải pháp tốt nhất hiện nay là phòng ngừa bệnh và ngăn chặn nguy cơ tiếp xúc với chủng khuẩn mới. Điều này có thể đạt được bằng cách sử dụng dòng gen kháng bệnh, tạo ra những tôm có khả năng chống lại bệnh TPD.

IV. Hậu Quả Cho Ngành Nuôi Tôm

  • Sự Tàn Phá Nhanh Chóng
    Bệnh TPD có khả năng tàn phá một trại tôm khỏe mạnh chỉ trong vòng một đêm. Sự suy yếu nhanh chóng của tôm là một thách thức lớn đối với ngành nuôi tôm, khiến cho những người chăn nuôi phải đối mặt với nguy cơ thất thoát tài chính lớn.
  • Tình Hình Không Đoán Trước
    Sự khó dự đoán và khả năng trú ẩn của bệnh TPD khiến cho việc kiểm soát và phòng ngừa trở nên phức tạp. Hệ miễn dịch của tôm không thể tiêu diệt khuẩn TPD một cách hiệu quả, dẫn đến việc bệnh có thể bùng phát một cách bất ngờ và gây thiệt hại nghiêm trọng.

V. Kết Luận: Đối Mặt Với Sự Đe Dọa Khó Lường

Bệnh TPD đang là một thách thức lớn đối với ngành nuôi tôm tại Miền Trung Việt Nam. Sự xuất hiện bất ngờ và tính chất độc tàn của nó đe dọa không chỉ nguồn cung cấp tôm mà còn cả ngành công nghiệp này. Sự hợp tác, nghiên cứu và sự chủ động trong việc áp dụng các biện pháp phòng ngừa là tất yếu để bảo vệ sự bền vững của ngành nuôi tôm và đảm bảo an ninh thực phẩm trong tương lai.

5.0
322 Đánh giá
catovina
Tác giả catovina Admin
Bài viết trước Bệnh phân trắng trên tôm: Nguyên nhân, triệu chứng và biện pháp phòng, trị

Bệnh phân trắng trên tôm: Nguyên nhân, triệu chứng và biện pháp phòng, trị

Bài viết tiếp theo

Tôm Càng Xanh Giống Đực: Lợi Ích và Thách Thức Trong Nuôi Trồng

Tôm Càng Xanh Giống Đực: Lợi Ích và Thách Thức Trong Nuôi Trồng
Viết bình luận
Thêm bình luận

Bài viết liên quan

Thông báo